miércoles, 3 de octubre de 2012

MAL POSICIÓN DENTARIA


MALPOSICION DENTARIA

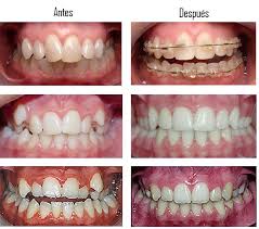
Para comprender las diferentes maloclusiones debemos conocer la oclusión normal. Una malposición dentaria es cuando uno o varios dientes están situados en posición anormal.


La malposición dentaria conlleva que las piezas dentarias superiores e inferiores no articulen, encajen o engranen con normalidad, y por tanto es causa de maloclusión dentaria. Las maloclusiones dentarias se clasifican según sus causas: dentarias, esqueléticas, funcionales y mixtas. Hoy, gracias a los estudios cefalométricos podemos saber el tipo de maloclusión con exactitud como veremos más adelante.


El origen de las maloclusiones dentarias es la malposición de los dientes, siendo normales las bases óseas (maxilar superior y mandíbula).
En las maloclusiones óseas el defecto está en las bases óseas. Pueden ser debidas a falta o exceso de crecimiento de los maxilares y a una malposición del macizo craneofacial.

Las maloclusiones funcionales se deben generalmente a una alteración en la dinámica mandibular por alteraciones musculares que conduce a una oclusión dentaria anormal.

¿ Cuales son los tipos de maloclusión?

Las malposiciones o maloclusiones pueden afectar a los dientes solamente y son llamadas maloclusiones dentarias en ellas los dientes están apiñados, desalineados, torcidos o separados; además de los dientes pueden estar afectados los maxilares siendo llamadas maloclusiones esqueletales donde existe diferencia entre el tamaño o la posición de un maxilar con respecto al
otro (maxilar vs. mandíbula).

En ortodoncia básicamente hablamos de tres grupos de maloclusiones en las cuales se pueden presentar las características antes nombradas estos grupos son: Clase l , Clase II , y Clase III. Cada una de ellas deberá ser tratada de una manera distinta, y de ellas la más frecuente es por lo general la Clase l.

Clase l: Las maloclusiones de este tipo se observan cuando los maxilares están bien alineados pero los dientes no engranan bien. Pueden haber dientes demasiado grandes o demasiado pequeños para los maxilares, lo cual dificultará la masticación, facilitará la aparición de caries y enfermedades de las encías (sangramiento etc.) y a veces afecta la apariencia personal.

Clase II: A este grupo pertenecen la mayoría de los que tienen los “dientes volados” o protruídos que sería el termino adecuado para nombrarlos. Puede ocurrir cuando el maxilar superior crece mas de lo normal y se ve sobresalido o cuando la mandíbula es deficiente, o sea no ha crecido lo suficiente. En pacientes adultos, una deficiencia mandibular muy grande puede requerir cirugía.

Clase III: Es la menos común de las maloclusiones. La mandíbula luce mas salida o protruída que el resto de la cara, pero también puede deberse a una deficiencia en el crecimiento del maxilar superior. En niños muchos casos pueden ser tratados con relativo éxito, pero algunos de ellos requerirán de un tratamiento combinado de Ortodoncia con Cirugía para su corrección adecuada



Otros de los problemas más comunes que pueden verse en cualquier maloclusión son:

- Mordida cruzada: uno o mas dientes ya sea de los anteriores o de los molares puede estar en una relación invertida con su antagonista
Mordida abierta: Cuando no pueden chocarse los bordes de los dientes de adelante, a pesar de que los molares si contactan , es muy común en los succionadores de dedo y en los respiradores bucales
Mordida profunda: Los dientes superiores cubren demasiado a los dientes inferiores, llegando en algunos casos a contactar con la encía del paladar al masticar e inhibiendo el crecimiento normal de la mandíbula en pacientes jóvenes, pudiendo causar además lesiones.Los factores que pueden influir en el regreso de la malposición dentaria son:

- Cambios relacionados con el crecimiento.
- Cambios potenciales en los arcos dentales, conforme pasa la edad del paciente.
- Musculatura oral.
- Malos hábitos como empuje lingual, deglusión atípica, etc
- Mala higiene dental que trae como consecuencia, inflamación de las encías y pérdida de los tejidos de soporte del diente.

Los aparatos utilizados por los ortodoncistas para la retención son de dos tipos; removibles y fijos. Los aparatos removibles son los que se utilizan más y constan de una base de acrílico, unos ganchos de sujeción y un arco vestibular de alambre. .Los aparatos fijos se utilizan sobre todo cuando se planea una retención prolongada o se teme inestabilidad del alineamiento que se obtuvó, con el tratamiento especialmente en pacientes con poco soporte óseo.El tratamiento temprano (7-8 años) es ventajoso para ayudar a guiar el crecimiento de la cara y maxilares y para evitar interferencias durante el cambio dentario de dientes temporales (leche) a los permanentes (adulto).Es en ésta etapa cuando se puede aprovechar al máximo la ortopedia dentofacial para redirigir y estimular el crecimiento de los maxilares y obtener los mejores resultados.
 

¿Por qué es importante realizar un tratamiento de ortodoncia?

- Unos dientes bien alineados y una adecuada mordida permiten entre otras cosas evitar
 desgastes producidos por contactos prematuros, previenen la acumulación de placa bacteriana responsable de la caries y de problemas en las encías además de ofrecerle una perfecta sonrisa

No hay comentarios: