miércoles, 3 de octubre de 2012

IMPORTANCIA DE LOS DIENTES DE LECHE O DENTICIÓN PRIMARIA


La dentición temporal, primaria, decidua o de leche comienza a erupcionar hacia los 6-8 meses y finaliza hacia los 30-36 meses Esta dentición permanecerá en boca de forma exclusiva hasta los 6 años de edad, fecha en que empieza el periodo de Dentición mixta durante el cual coinciden en boca dientes temporales y definitivos a la vez.
Es importante tranquilizar a los padres sobre las variaciones en la edad de erupción de los dientes temporales. Se considera como normal que la dentición temporal haya finalizado su proceso eruptivo a los 3 años de edad. Si el retraso es superior a 6 meses podría ser motivo de consulta con el Odontopediatra. No obstante un retraso en la erupción de la dentición temporal suele ir asociado a un retraso aún mayor en la erupción de la dentición definitiva.

Se debe concienciar a la población de la importancia de la dentición temporal y de la repercusión que éstos tienen en la futura salud dental y correcta oclusión del adulto.
Recordemos que la dentición temporal consta de 20 dientes, diez en cada arcada (o lo que es lo mismo 5 en cada cuadrante). Tenemos 2 incisivos centrales superiores e inferiores, 2 incisivos laterales superiores e inferiores, 2 caninos superiores e inferiores, 2 primeros molares temporales superiores e inferiores y 2 segundos molares temporales superiores e inferiores.
La cronología normal de erupción de los dientes temporales sería la siguiente:

Incisivo central: 7 meses (superior) 6-7 meses (inferior)
Incisivo lateral: 8 meses (superior) 7-8 meses (inferior)
Canino: 16-20 mesesPrimer molar temporal: 12-16 meses
Segundo molar temporal: 21-30 meses.

Es importante destacar que los dientes temporales son más pequeños, más achatados y más blancos que los dientes definitivos (es una de los motivos más frecuentes de consulta de padres preocupados).

Los dientes temporales no sólo cumplen una función masticatoria, sino también estética (influye en el desarrollo correcto de la autoestima del niño) y fonética (la correcta pronunciación de algunos fonemas puede alterarse en caso de alteración de dientes temporales).

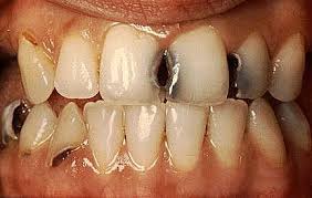
Tengamos en cuenta que la caries infantil puede ser causa de aparición de dolor en el niño (en la mayoría de veces pasa desapercibido). Asimismo un proceso infeccioso de larga evolución en un diente temporal puede llegar a afectar el germen del diente definitivo.

Es importante la corrección de los malos hábitos a esta edad. La succión del pulgar, tan frecuente en el lactante, es una de las principales causas de maloclusión tributaria de tratamiento ortodóntico unos años más tarde.

El uso del chupete también debería erradicarse al finalizar el primer año de vida. Es importante enfatizar que impregnar el chupete en miel, azúcar o leche condensada para tranquilizar al lactante es otro de los hábitos más nocivos y de peores consecuencias cariogénicas a esa edad.

Se debe fomentar el cepillado dental en esta etapa. Se aconseja cepillo pequeño y suave. No es imprescindible el uso de pasta dental. Resulta muy importante la introducción y aprendizaje de este hábito una vez al día, preferiblemente por la noche.

No hay comentarios: